Tac G2 vs Nova Coil System

Tac G2 coil
The Tac G2 coil

The Tac G2 RF coil system provides extended coverage throughout the brain and spinal cord to C6. It provides homogeneous B1+, which means excellent image quality and no signal dropout. Additionally, the Tac G2 has an open-face design which promotes patient comfort and reduces claustrophobia.

See below for a video comparing many sequence types on our coil and the Nova Medical 1Tx/32Rx RF coil.

a gif of an MRI
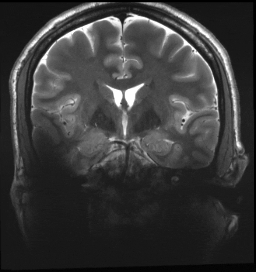
A T2-TSE image using both the Tac G2 coil and the Nova Medical coil. Areas of signal dropout in the temporal lobe are visible in the scans acquired with the Nova coil.
a gif of an MRI
An MP2RAGE image using both the Tac G2 and the Nova Medical coil. Areas of low B1+ when using the Nova coil appear as a bright white artifact
gif of an mri
A T2 SPACE image using both the Tac G2 coil and the Nova Medical coil. Areas of signal dropout are visible when using the Nova Medical coil.

 

See more examples here: